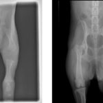
Hieronder zie je een röntgenfoto van een puppy van een paar weken oud en ter vergelijking van een volwassen hond. Het laat echt zien hoe het kraakbeen nog omgezet moet worden in echte botten en goede gewrichten!
Puppy oefening is zooooo belangrijk omdat jonge honden aanzienlijke fysieke veranderingen ondergaan.
De meeste groei vindt plaats tussen de leeftijd van 4 tot 8 maanden, echter in sommige grote / gigantische hondenrassen kunnen de groeischijven open blijven tot 18-20 maanden!
Er is geen twijfel dat puppy’s dol zijn op sporten en we willen niets liever dan hen gelukkig te maken Maar puppy-trainingslimieten MOETEN worden toegepast om schade aan het ontwikkelende skelet van de puppy te voorkomen.
Dus hier is een richtlijn om je te helpen
Overtraining, zoals hardlopen over lange afstand, is ongezond voor jonge honden en de voordelen zijn minimaal. Sommige honden worden gedreven om te sporten en als eigenaren hebben we het gevoel dat we ze een dienst bewijzen door ze te geven wat ze willen
Wat is genoeg voor een pup?
Wandelen
Langzame, korte wandelingen, met veel mogelijkheden voor je puppy om te stoppen en te snuffelen. Als richtlijn geldt: 1 minuut wandelen per week dat de pup oud is of 5 minuten per maand dat de pup oud is.
Rekenvoorbeelden:
Eenvoudige gehoorzaamheidstraining
Vrij spelen
Achtervolging van objecten
Trekspelletjes
Vermijd
Jonge puppy’s, tot zes maanden, mogen niet worden getraind met de bedoeling om kracht of uithoudingsvermogen te vergroten. Deze puppy’s moeten natuurlijk kunnen spelen, d.w.z. zelfgestuurd spelen.
Springen wordt vaak aangemoedigd, zonder te beseffen wat van de schade het bij een jonge pup kan veroorzaken. Laat je puppy niet toe op hoge objecten zonder goed toezicht en help hem wanneer hij naar beneden gaat.
Je portemonnee
Het herstellen van opgelopen schade aan gewrichten en botten via een operatie of operaties loopt al gauw in de vele duizenden euro’s kan lopen. Als het al te herstellen is…….
Bij De Roedel wordt op het bovenstaande door de trainers goed op gelet. Door hun gedegen training weten ze echt wat het beste is voor uw hond! Neem dus aan wat zij zeggen en houd je hond gezond!